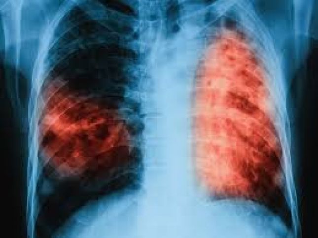
Безплатни прегледи за туберкулоза във Варна и цялата страна
 
„Седмица на отворените врати“ за туберкулоза ще се проведе във Варна и страната от 19 до 23 юни. В периода ще се извършва скрининг на риска за болестта чрез анкета и консултации. При съмнителни за туберкулоза лица ще се провеждат прегледи и допълнителни изследвания.
Кампанията ще се проведе в „СБАЛПФЗ – Варна“ на ул. „Мануш войвода“ 11А, научи Moreto.net.
На 19 юни 2023 г за втори път през тази година ще се проведат безплатни прегледи за туберкулоза в лечебни заведения за диагностика и лечение на туберкулозата в областните градове на страната. Прегледите са част от кампанията „Седмица на отворените врати”, която се организира в изпълнение на Националната програма за превенция и контрол на туберкулозата на Министерството на здравеопазването, чиято цел е намаляване заболеваемостта от туберкулоза в страната.
Инициативата се осъществява съвместно с Регионалните здравни инспекции, лечебните заведения за диагностика и лечение на туберкулоза, както и неправителствени организации. Кампанията е доказала своята ефективност за повишаване на обществената информираност по отношение на заболяването. Безплатният достъп до медицински услуги, от една страна, води до по-добра разкриваемост на случаите на туберкулоза и латентна туберкулозна инфекция, а от друга, до ефективна превенция на заболяването в страната.
По време на „Седмицата на отворените врати“ на всеки желаещ се предлага скрининг за риска от туберкулоза чрез анкета и консултации. На лицата, които са в риск, се провеждат допълнителни прегледи и изследвания. При откриването на случаи на туберкулоза своевременно се предприемат мерки за хоспитализация и лечение, в резултат на което се прекъсва веригата за предаване на инфекцията.
По време на проведените за периода 2009 г. – 2022 г. „Седмици на отворени врати” са анкетирани за туберкулоза над 125 000 лица, открити и насочени за лечение са 1 376 лица с туберкулоза, открити с латентна туберкулозна инфекция и обхванати с химиопрофилактика са 4 655 души.
В резултат на изпълнението на Националните програми за превенция и контрол на туберкулоза в България e налице тенденция за трайно намаляване на заболяемостта от туберкулоза - от 26.6 на 100 хил. население през 2012 г. до 14.8 на 100 хил. през 2022 г. (по предварителни данни).
В България диагностиката, лечението и профилактиката на туберкулозата са безплатни, независимо от здравноосигурителния статус на гражданите. Ежегодно Министерството на здравеопазването осигурява както финансов ресурс за противотуберкулозни лекарства от първи ред, лекарства за химиопрофилактика, ваксини, диагностикуми и консумативи за лабораториите и финансиране на болниците за лечение на туберкулоза.
Туберкулозата е лечима и предотвратима, стига да бъде открита навреме и да бъде проведено качествено лечение.
Списък на места с безплатни прегледи за туберколоза в цялата страна може да видите тук.
|
Новини - теми |
Търси в новини |
Популярни теми |
|
 |
Новини от Варна, региона и света |
 |
 Водещ турски експерт по репродуктивно здраве консултира безплатно български пациенти във Варна
Четвъртък, 8 Януари 2026 13:50
В началото на 2026 г. българските пациенти с репродуктивни проблеми ще имат рядката възможност да се срещнат на живо с един от водещите специалисти по инвитро и репродуктивна медицина в Турция – проф....
| |
 |
 Още по-достъпно пазаруване в Lidl през януари
Петък, 9 Януари 2026 11:46
Lidl стартира годината с нови промоционални активности на основни за домакинството продукти, в подкрепа на семейния бюджет. До 1 февруари, към всичките си актуални промоции, веригата добавя още близо 120...
| |
 |
 Чувстваш се все едно си седнал на тръни? Прегледай се за хемороиди!
Петък, 9 Януари 2026 14:24
Хемороидите протичат незабелязано за околните, но с големи мъки за страдащия. Интересен факт е, че се диагностицират по-често сред живеещите в градски условия.
И това не е необичайно. Заседналият начин...
| |
 |
 Стартира петото юбилейно издание на конкурса за иновативно прилагане на технологични решения Transform IT Awards 2026
Петък, 9 Януари 2026 12:16
Компаниите и публичните организации, внедрили иновативни технологични проекти с измерима оптимизация на процесите или продуктите си през 2025 година, вече могат да кандидатстват за участие в Transform...
| |
 |
 Община Варна предприема мерки в подкрепа на хора без подслон
Петък, 9 Януари 2026 18:38
Заради влошените метеорологични условия и ниските температури Община Варна предприема допълнителни мерки в подкрепа на хората в риск. Вчера вечерта е извършен обход на подлези и други критични точки на...
| |
 |
 Националната петролна компания на Сърбия договори първите доставки суров петрол за 2026 г.
Петък, 9 Януари 2026 18:24
Националната петролна компания на Сърбия НИС договори вноса на първите количества суров петрол чрез Адриатическия петролопровод ЯНАФ за нуждите на рафинерията в Панчево, което ще даде възможност за възобновяване...
| |
 |
 OpenAI стартира ChatGPT Health в САЩ
Петък, 9 Януари 2026 18:10
OpenAI стартира новата функция ChatGPT Health, която позволява на потребителите да споделят своите медицински досиета и данни от приложения като Apple Health, Peloton и MyFitnessPal. Целта е чатботът да...
| |
 |
 Мобилно работно място за съдействие с приложението еЗдраве ще бъде разкрито в Община Варна
Петък, 9 Януари 2026 17:56
От 12 до 14 януари в зала „Пленарна“ ще бъде разположено мобилно работно място за оказване на съдействие при ползването на приложението еЗдраве
В рамките на организирана информационна кампания за...
| |
 |
 Министерският съвет предлага данъчни облекчения за фирмите, инвестиращи в иновации
Петък, 9 Януари 2026 17:41
Министерският съвет прие предложение за въвеждане на данъчно облекчение за компании, които инвестират в научноизследователска и развойна дейност (НИРД). Мярката има за цел да стимулира бизнеса да инвестира...
| |
 |
 Варна регистрира ръст на варицела
Петък, 9 Януари 2026 17:26
РЗИ-Варна отчита 127 случая на варицела за периода 30.12.2025 – 08.01.2026 г., в сравнение с 69 случая през предходната седмица. Най-засегнати остават децата на възраст 0–4 години.
Общият брой на регистрираните...
| |
 |
 Смяна на командването на Военноморската противоминна група „MCM BLACK SEA“
Петък, 9 Януари 2026 17:11
С официална церемония бе извършена смяна на командването на Военноморската противоминна група в Черно море „MCM BLACK SEA“
С официална церемония на 8 януари в Истанбул бе извършена смяна на командването...
| |
 |
 Борисов: В понеделник ГЕРБ ще вземе мандата, но ще го върнем веднага
Петък, 9 Януари 2026 16:58
ГЕРБ-СДС ще върне веднага мандата за съставяне на правителство, обяви Бойко Борисов.
"В понеделник ГЕРБ ще вземе мандата, но ще го върнем веднага. Хаосът в страната ще е по-голям, защото за съжаление...
| |
|
|
|
Изпрати новина
|
|
|
 |
Полезно |
Препоръчваме |
Най-четени |
Анкета |
|