Регистрация
booked.net Направи Moreto.net начална страница
Начало
Пътеводител
Новини
Афиш
Снимки
Обяви

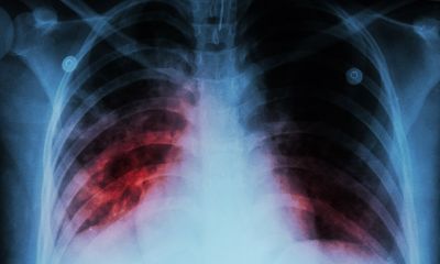
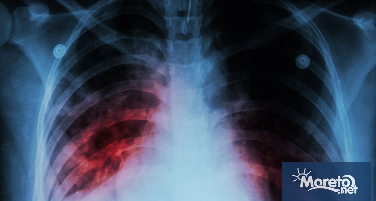
Над 4 хил. годишно се разболяват от рак на белия дроб у нас - над 3 хил. от тях са мъже

Четвъртък, 7 Ноември 2019 16:06
Източник: DarikNews.bg   
Всяка година в страната ни се диагностицират 4250 нови случая на рак на белия дроб, като 3260 са сред мъже. Това каза пред журналисти проф. Асен Дудов, председател на Българското онкологично дружество, цитиран от БТА. По думите му тази локализация е водеща причина за смърт от онкологично заболяване в България. Причини за повишаване на случаите на рак на белия дроб са тютюнопушене, излагане на азбест, пасивно пушене, генетични предпоставки и други.

Повечето случаи на болестта се диагностицират късно - в трети или четвърти стадий, което възпрепятства възможностите за лечение. Късната диагноза е причината за високата смъртност, като 80 на сто от пациентите загиват в рамките на 1 година след диагностицирането.

Целите, които биха могли да ускорят диагностиката и лечението, са повишаване на информираността на населението, намаляване на времето между консултациите и началото на лечението, както и усъвършенстване на програмите за скрининг сред рисковите групи.


Коментари
16:51ч. 7 Ноември 2019 #1
robyst
За причината замърсен въздух от дизеловите автомобили и просташкото застрояване /строителство/нито дума.
сподели или изпрати на приятел
Новини - теми
Последни новини
Варна и Черноморие
България
По света
Бизнес
Наука
Туризъм
Спорт
Здраве
Образование
Култура
Истории
Крими
На фокус
Избори
Изпрати новина
Търси в новини
Популярни теми
Благомир Коцев
Библиотеката
Саниране
Украйна
АМ Хемус
Дупката
Стара Варна
Новини от Варна, региона и света
Вземете смартфон от новата серия Samsung Galaxy S26 с 0% лихва от А1
Сряда, 11 Март 2026 15:23
A1 вече предлага смартфоните от новата серия Samsung Galaxy S26 – Galaxy S26 Ultra с първия вграден Privacy дисплей в мобилно устройство, Galaxy S26+ и Galaxy S26. До 31 март клиентите могат да вземат...
Започнаха официалните продажби на новия iPhone 17е в А1
Сряда, 11 Март 2026 15:16
A1 вече предлага новия iPhone 17e, който впечатлява с още по-висока производителност, усъвършенствана система от камери и подобрена издръжливост. Моделът идва с двойно по-голяма начална памет – 256 GB,...
Варна: Паркирането става по-трудно, а буферните паркинги още са само идея
Сряда, 11 Март 2026 13:16
Проблемът с паркирането в части от Варна се задълбочава, особено след старта на „Зелената зона“. В същото време буферните и етажните паркинги, за които се говори от години, засега остават само като планове...
Lidl с добри оферти за лятна работа на ученици в цялата страна
Сряда, 11 Март 2026 11:07
Лидл България за поредна година кани в своята платена практикантска програма ученици, които търсят работа за лятото. Веригата отваря вратите на всички свои магазини в страната, както и на логистичните...
Варненските огнеборци реагирали на над 2200 пожара през миналата година
Днес, 12 Март 2026 15:11
През миналата година служителите на Регионална дирекция „Пожарна безопасност и защита на населението“ – Варна реагираха на 2242 пожара и 765 случая на оказване на техническа помощ, съобщи днес старши комисар...
Още двама лекари привлечени като обвиняеми за смъртта на 6-годишно дете в Пловдив
Днес, 12 Март 2026 14:57
Окръжната прокуратура в Пловдив привлече като обвиняеми още двама лекари – анестезиолог и стоматолог, във връзка с досъдебното производство за смъртта на 6-годишно дете по време на стоматологична интервенция...
Най-големият хотелски оператор в Европа обяви фалит на половината си обекти
Днес, 12 Март 2026 14:43
Европейският хотелски сектор е изправен пред сериозни предизвикателства, след като Revo Hospitality Group – най-големият хотелски оператор на континента – обяви, че повече от половината от портфолиото...
Най-щастливата страна в света кани туристи на безплатно пътуване
Днес, 12 Март 2026 14:29
Туристическият сектор на Финландия стартира нова инициатива, с която ще даде възможност на чуждестранни посетители да открият тайната на финландското щастие. От Visit Finland обявиха, че ще предоставят...
Десетки варненци се редят за безплатни изследвания: Бъбречните заболявания протичат „тихо“
Днес, 12 Март 2026 14:17
При огромен интерес стартира днешната кампания за безплатни профилактични изследвания и здравни консултации на входа на Морската градина по повод Световния бъбречен ден, предаде репортер на Moreto.net. Още...
До края на юни ще бъдат санирани 585 блока по Плана за възстановяване и устойчивост
Днес, 12 Март 2026 14:03
585 многофамилни жилищни блока в страната се санират към днешна дата с финансиране по Етап 1 на Плана за възстановяване и устойчивост (ПВУ) под ръководството на Министерството на регионалното развитие...
Земетресение с магнитуд 5.0 е регистрирано в Гърция
Днес, 12 Март 2026 13:51
Земетресение с магнитуд 5.0 по скалата на Рихтер е регистрирано днес в района на Кардица в Гърция, съобщиха от Национален институт по геофизика, геодезия и география – БАН. По данни на Националния сеизмологичен...
София Филм Фест във Варна се завръща с 17-ото си издание
Днес, 12 Март 2026 13:39
София Филм Фест във Варна отново ще събере любителите на киното с 17-ото си издание, което предлага селекция от отличени филми от престижни международни фестивали като Berlin International Film Festival,...
Търси в новини:
1234567891011

Изпрати новина

Полезно
Мека мебел Спешен зъболекар
Супермаркет Ток за бизнеса
Лазерна епилация Шофьорски курс
Имоти във Варна Бариери за паркинг
Препоръчваме
Дограми и фасади Реклама Варна
Сметка за вода Сметка за ток
Музеите във Варна Хибриден бойлер
Матраци и легла Списание Hera.bg
Най-четени
 Най-четено от Всички теми 1 2 3
 Варна и Черноморие
 България
 По света
 Бизнес
 Наука
 Туризъм
 Спорт
 Здраве
 Образование
 Култура
 Истории
 Крими
 На фокус
 Избори
Анкета
Кой е най-сериозният проблем на Варна в момента?
Трафикът и липсата на места за паркиране
Лошото състояние на улиците и тротоарите
Презастрояването и липсата на градско планиране
Чистотата и поддръжката на публичните пространства
Липсата на контрол, ред и ефективни санкции
Разходите за живот и нивото на доходите
Образованието и здравеопазването в града
 © Moreto.net - Сайтът на Варна RSS Новини   RSS Новини от Варна   RSS Обяви   WEB   Условия   РЕКЛАМА   Контакти  
ПРИЯТЕЛИ: 
2.1 + 1.7
Бургас   Казанлък   Монтана   Сандански   BG16RFOP002-2.073-1758-C01
Moreto.net във Facebook